DPM_H31.jpg

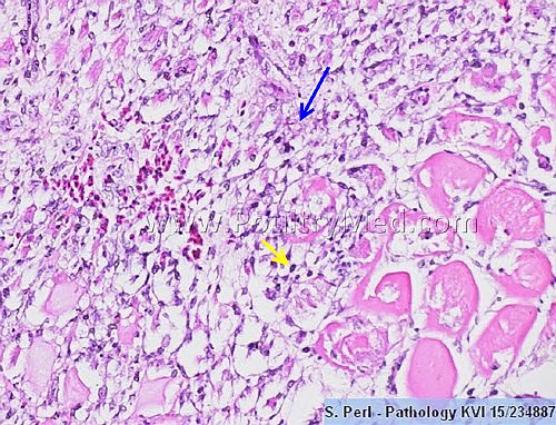
Degenerative necrotic changes. Macrophages between the necrotic muscle fibers (yellow arrow). Muscle fibres are replaced by fibrous tissue (blue arrow)

DPM.jpg

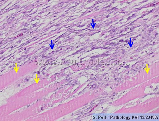
Discoid necrosis: Dead muscle fibres showing discoid necrosis (yellow arrows); Muscle fibres replaced by fibrous tissue (blue arrows).

Discoid necrosis: Dead muscle fibres showing discoid necrosis (yellow arrows);
Muscle fibres replaced by fibrous tissue (blue arrows)