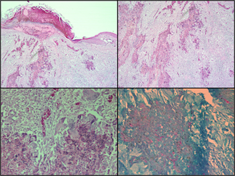
Skin Aspergillosis

SKIN ASPERGILLOSIS. Tissue from a 30 days old broiler.
Description: Skin. The epidermis has multifocal ulcerations covered with serocellular crusts that contain bacterial microcolonies. The epidermal cells at the ulcers margins are hypertrophic. The dermis and subcutis are expanded with inflammation, multiple foci of necrotic cell debris, blood vessel congestion and edema. The inflammatory exudate contains primarily histiocytes and multinucleated giant cells (MNGC), lymphocytes, and some heterophils. Fungal hyphae with septa, parallel walls, and dichotomous branching are demonstrated by PAS stain within the necrotic material.
Morphologic Diagnosis: Sever, multifocal, ulcerative granulomatous dermatitis with intralesional fungal hyphae.
Disease Diagnosis: Skin Aspergillosis. Dr Z. Raviv   

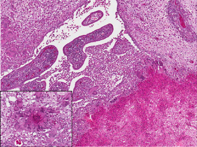
Dactylariosis

DACTYLARIOSIS: Tissue from a young turkey (X100; insert X400)
Description: Brain. Necrotic foci infiltrated by heterophils, macrophages and multinucleated giant cells, granulomatous ventriculitis, histiocytic and lymphocytic perivascular cuffing, gliosis, and neuropil edema.
Comment: hyphae are commonly invisible by H&E and specific stain (e.g., PAS, GMS) is required.      
Morphologic diagnosis: Sever, multifocal, chronic granulomatous encephalitis
Etiologic Diagnosis: Ochroconis gallopavum (formerly Dactylaria gallopava)
Presumptive route of fungal infection: inhalation > hematogenous > choroid
Plexus > Ventricles > gray matter. Dr Z. Raviv